Pseudotumor inflamatorio hepático linfoplasmocítico
DOI:
https://doi.org/10.23938/ASSN.0263Palabras clave:
Pseudotumor inflamatorio. IgG4.Resumen
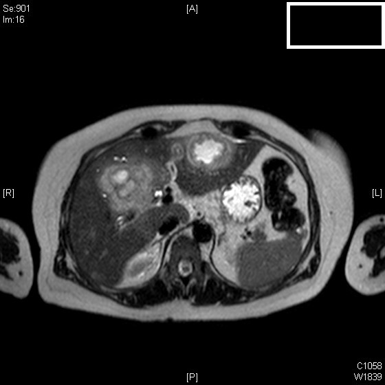
Presentamos el caso de una mujer de mediana edad con antecedentes de colecistectomía y varios episodios de coledocolitiasis residual resueltos endoscópicamente. Acude al servicio de Urgencias por un nuevo cuadro de dolor abdominal y alteración de enzimas hepáticas, apreciándose en las pruebas de imagen lesiones sugestivas de abscesos hepáticos sin poder descartarse un origen maligno. Dada esta duda se decide realizar una biopsia con aguja gruesa llegando al diagnóstico de pseudotumor inflamatorio hepático relacionada con la enfermedad por IgG4. Ésta es una entidad infrecuente pero que debe ser tenida en cuenta debido a que, a diferencia de la patología maligna, que es el principal diagnóstico diferencial, su comportamiento es benigno, con buena evolución con tratamiento médico. Por ello es vital un adecuado diagnóstico para evitar procedimientos diagnóstico-terapéuticos agresivos.
Descargas
Citas
1. PACK GT, BAKER HW. Total right hepatic lobectomy: report of a case. Ann Surg 1953; 138: 253-258.
https://doi.org/10.1097/00000658-195308000-00012
2. TORZILLI G, INOUE K, MIDORIKAWA Y, HUI AM, TAKAYAMA T, MAKUUCHI M. Inflammatory pseudotumors of the liver: prevalence and clinical impact in surgical patients. Hepatogastroenterology 2001; 48: 1118-1123.
3. TANG L, LAI EC, CONG WM, LI AJ, FU SY, PAN ZY et al. Inflammatory myofibroblastic tumor of the liver: a cohort study. World J Surg 2010; 34: 309-313.
https://doi.org/10.1007/s00268-009-0330-x
4. AKATSU T, WAKABAYASHI G, TANIMOTO A, KAMEYAMA K, KITAJIMA M. Inflammatory pesudotumor of the liver masquerading as hepatocellular carcinoma after a hepatitis B virus infection: report of a case. Surg Today 2006; 36: 1028-1031.
https://doi.org/10.1007/s00595-006-3306-6
5. KIM SR, HAYASHI Y, KUDO M, MATSUOKA T, IMOTO S, SASAKI K et al. Inflammatory pseudotumor of the liver in a patient with chronic hepatitis C: difficulty in differentiating it from hepatocellular carcinoma. Pathol Int 1999; 49: 726-730.
https://doi.org/10.1046/j.1440-1827.1999.00927.x
6. KE Q, FAN L, DUAN X, HE Z AND ZHENG S. Inflammatory pseudotumor mimicking primary hepatic malignant tumor with hepatitis B virus-related cirrhosis: a case report. Oncol Lett 2013; 6 Suppl 2: S550-552.
https://doi.org/10.3892/ol.2013.1386
7. ZEN Y, FUJII T, SATO Y, MASUDA S, NAKANUMA Y. Pathological classification of hepatic inflammatory pseudotumor with respect to IgG4-related disease. Mod Pathol 2007; 20: 884-894.
https://doi.org/10.1038/modpathol.3800836
8. DESHPANDE V, ZEN Y, CHAN JK, YI EE, SATO Y, YOSHINO T et al. Consensus statement on the pathology of IgG4-related disease. Mod Pathol 2012; 25: 1181-1192.
https://doi.org/10.1038/modpathol.2012.72
9. KOEA JB, BROADHURST GW, RODGERS MS, MCCALL JL. Inflammatory pseudotumor of the liver: demographics, diagnosis and the case for nonoperative management. J Am Coll Surg 2003; 196: 226-235.
https://doi.org/10.1016/S1072-7515(02)01495-3
10 ONIEVA-GONZÁLEZ FG, GALEANO-DÍAZ F, MATITO-DÍAZ MJ, LÓPEZ-GUERRA D, Fernández-Pérez J, Blanco-Fernández G. Pseudotumor inflamatorio hepático. Importancia de la anatomía patológica intraoperatoria. Cir Cir 2015; 83: 151-155.
Publicado
Cómo citar
Número
Sección
Licencia
Derechos de autor 2016 Anales del Sistema Sanitario de Navarra

Esta obra está bajo una licencia internacional Creative Commons Atribución-CompartirIgual 4.0.
La revista Anales del Sistema Sanitario de Navarra es publicada por el Departamento de Salud del Gobierno de Navarra (España), quien conserva los derechos patrimoniales (copyright ) sobre el artículo publicado y favorece y permite la difusión del mismo bajo licencia Creative Commons Reconocimiento-CompartirIgual 4.0 Internacional (CC BY-SA 4.0). Esta licencia permite copiar, usar, difundir, transmitir y exponer públicamente el artículo, siempre que siempre que se cite la autoría y la publicación inicial en Anales del Sistema Sanitario de Navarra, y se distinga la existencia de esta licencia de uso.


