Metástasis extraneurales múltiples de glioblastoma multiforme
DOI:
https://doi.org/10.23938/ASSN.0061Palabras clave:
Glioma de alto grado, Glioblastoma Multiforme, Metástasis, PronósticoResumen
Fundamento. Los glioblastomas multiformes son los tumores cerebrales primarios más frecuentes. A pesar de los avances en su tratamiento quirúrgico, quimioterápico y radioterápico su pronóstico sigue siendo pobre. Las metástasis extracraneales de glioblastoma multiforme suponen una rara complicación dentro del curso de la enfermedad y ha sido descrita su aparición en distintas localizaciones como pulmón, hígado, hueso o ganglios linfáticos.
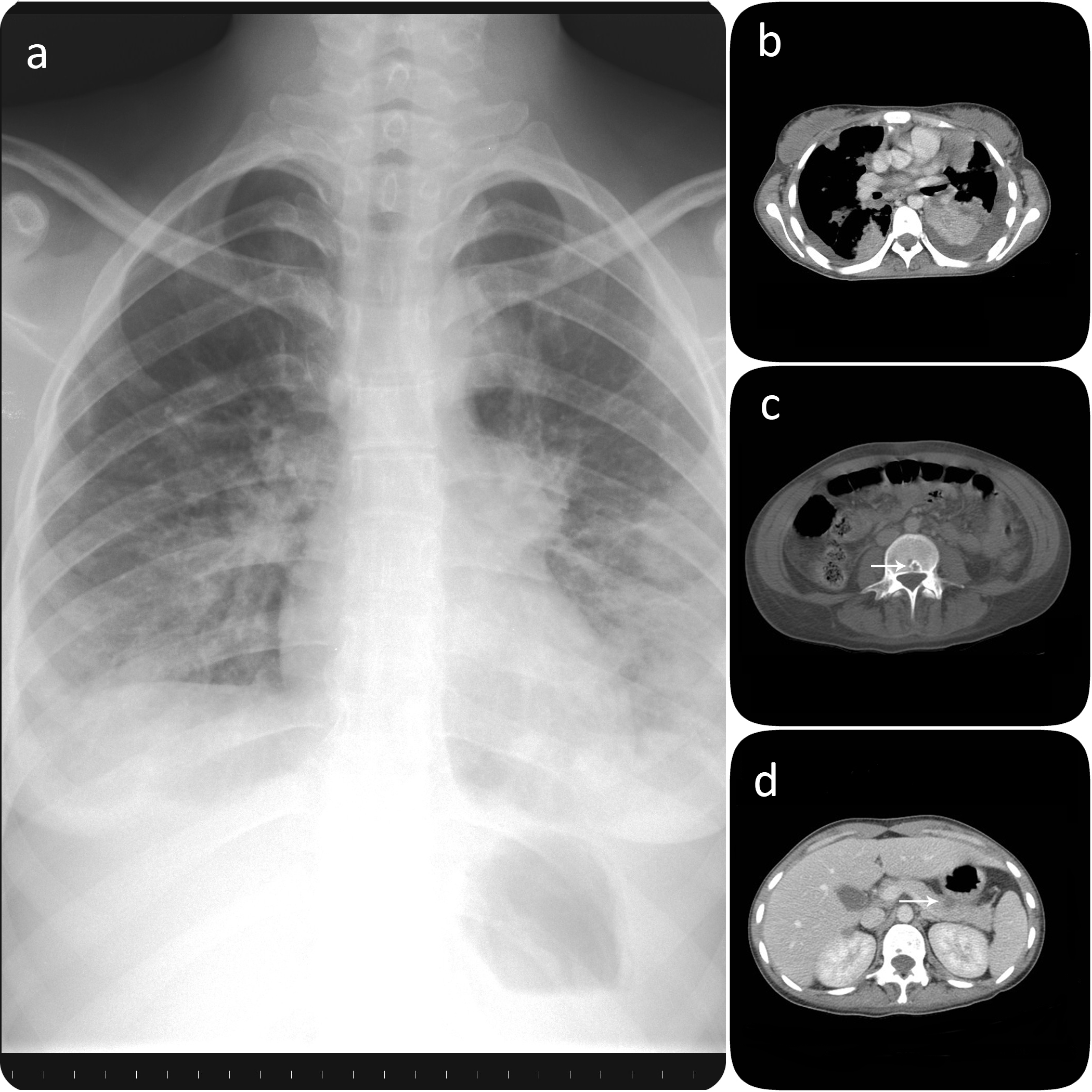
Caso clínico. Presentamos el caso de una paciente de 20 años que consultó por un cuadro de evolución subaguda. Se obtuvo una RMN cerebral que demostró la presencia de una lesión temporal derecha, que sugería un glioma de alto grado como primera posibilidad diagnóstica. Se intervino a la paciente, realizando una resección macroscópicamente completa de la lesión. Se administró tratamiento radioterápico y quimioterápico adyuvante, de acuerdo con el protocolo de nuestro centro. Cinco meses después de la cirugía la paciente consultó por dolor torácio y tos seca. Se realizó un TAC toraco-abdomino-pélvico, que mostró la presencia de infiltrados pulmonares bilaterales con derrame pleural asociado, un nódulo pancreático y varias lesiones vertebrales líticas. Las lesiones pulmonares fueron biopsiadas. El diagnóstico anatomopatológico fue de metástasis de glioblastoma multiforme. La paciente falleció ocho meses después del diagnóstico inicial
Conclusiones. Las metástasis extracraneales de glioblastoma multiforme son un suceso poco frecuente, aunque su incidencia está aumentando en posible relación con el aumento de la supervivencia de nuestros pacientes. La aparición de esta complicación se asocia a un estado terminal de la enfermedad. A pesar de su baja frecuencia se debe mantener un alto nivel de sospecha en su diagnóstico para poder mejorar la calidad de vida de estos pacientes.
Descargas
Citas
1. Stupp R, Mason WP, van den Bent MJ, Weller M, Fisher B, Taphoorn MJ et al. Radiotherapy plus concomitant and adjuvant temozolomide for glioblastoma. N Engl J Med 2005; 352: 987-996.
https://doi.org/10.1056/NEJMoa043330
2. Piccirilli M, Brunetto GM, Rocchi G, Giangaspero F, Salvati M. Extra central nervous system metastases from cerebral glioblastoma multiforme in elderly patients. Clinico-pathological remarks on our series of seven cases and critical review of the literature. Tumori 2008; 94: 40-51.
https://doi.org/10.1177/030089160809400109
3. Hulbanni S, Goodman PA. Glioblastoma multiforme with extraneural metastases in the absence of previous surgery. Cancer 1976; 37: 1577-1583.
https://doi.org/10.1002/1097-0142(197603)37:3<1577::AID-CNCR2820370348>3.0.CO;2-0
4. Kraft M, Lang F, Braunschweig R, Janzer RC. Parotid gland metastasis from glioblastoma multiforme: a case report and review of the literature. Eur Arch Otorhinolaryngol 2008; 265: 709-711.
https://doi.org/10.1007/s00405-007-0499-2
5. Weiss L. A metastasizing ependymoma of the cauda equina. Cancer 1955; 8: 161-171.
https://doi.org/10.1002/1097-0142(1955)8:1<161::AID-CNCR2820080123>3.0.CO;2-K
6. Cushing H, Bailey P. Tumors of the glioma group. Philadelphia: JB Lippincott; 1926.
7. Davis L. Spongioblastoma Multiforme of the Brain. Ann Surg 1928; 87: 8-14.
8. Asencio-Cortes C, de Quintana-Schmidt C, Clavel-Laria P, Catala Antunez I, Montes Graciano G, Molet Teixido J. Spinal cord metastasis from gliosarcoma. Case report and review of the literature. Neurocirugia 2014; 25: 132-135.
https://doi.org/10.1016/j.neucir.2013.09.002
9. Beauchesne P, Soler C, Mosnier JF. Diffuse vertebral body metastasis from a glioblastoma multiforme: a technetium-99m Sestamibi single-photon emission computerized tomography study. J Neurosurg 2000; 93: 887-890.
https://doi.org/10.3171/jns.2000.93.5.0887
10. Armstrong TS, Prabhu S, Aldape K, Hossan B, Kang S, Childress A et al. A case of soft tissue metastasis from glioblastoma and review of the literature. J Neurooncol 2011; 103: 167-172
https://doi.org/10.1007/s11060-010-0370-y
11. Figueroa P, Lupton JR, Remington T, Olding M, Jones RV, Sekhar LN et al. Cutaneous metastasis from an intracranial glioblastoma multiforme. J Am Acad Dermatol 2002; 46: 297-300.
https://doi.org/10.1067/mjd.2002.104966
12. Ley A, Campillo D, Oliveras C. Extracranial metastasis of glioblastoma multiforme. J Neurosurg 1961; 18: 313-330.
https://doi.org/10.3171/jns.1961.18.3.0313
13. 1Frank S, Kuhn SA, Brodhun M, Mueller U, Romeike B, Kosmehl H et al. Metastatic glioblastoma cells use common pathways via blood and lymphatic vessels. Neurol Neurochir Pol 2009; 43: 183-190.
14. Jain N, Mirakhur M, Flynn P, Choudhari KA. Cutaneous metastasis from glioblastoma. Br J Neurosurg 2005; 19: 65-68.
https://doi.org/10.1080/02688690500081423
15. Park CC, Hartmann C, Folkerth R, Loeffler JS, Wen PY, Fine HA et al. Systemic metastasis in glioblastoma may represent the emergence of neoplastic subclones. J Neuropathol Exp Neurol 2000; 59: 1044-1050.
https://doi.org/10.1093/jnen/59.12.1044
16. Ueda S, Mineta T, Suzuyama K, Furuta M, Shiraishi T, Tabuchi K. Biologic characterization of a secondary glioblastoma with extracranial progression and systemic metastasis. Neuro Oncol 2003; 5: 14-18.
https://doi.org/10.1093/neuonc/5.1.14
17. Nigogosyan G, De La Pava S, Pickren JW. Brain tumor with extracranial metastases. Report of two cases. Arch Neurol 1962; 6: 300-306.
https://doi.org/10.1001/archneur.1962.00450220042007
18. Mujic A, Hunn A, Taylor AB, Lowenthal RM. Extracranial metastases of a glioblastoma multiforme to the pleura, small bowel and pancreas. J Clin Neurosci 2006; 13: 677-681.
Descargas
Archivos adicionales
Publicado
Cómo citar
Número
Sección
Licencia

Esta obra está bajo una licencia internacional Creative Commons Atribución-CompartirIgual 4.0.
La revista Anales del Sistema Sanitario de Navarra es publicada por el Departamento de Salud del Gobierno de Navarra (España), quien conserva los derechos patrimoniales (copyright ) sobre el artículo publicado y favorece y permite la difusión del mismo bajo licencia Creative Commons Reconocimiento-CompartirIgual 4.0 Internacional (CC BY-SA 4.0). Esta licencia permite copiar, usar, difundir, transmitir y exponer públicamente el artículo, siempre que siempre que se cite la autoría y la publicación inicial en Anales del Sistema Sanitario de Navarra, y se distinga la existencia de esta licencia de uso.


