Utilidad de las secuencias potenciadas en susceptibilidad paramagnética (SWI) para diferenciar crisis somestésicas de accidentes isquémicos transitorios en un paciente con angiopatía amiloide cerebral

Autores/as

  • C. Gasca Salas
  • R. García de Eulate
  • P. Pastor

Palabras clave:

Accidentes isquémicos transitorios. Angiopatía amiloide cerebral. Crisis somestésicas. Microsangrados. Resonancia magnética cerebral.

Resumen

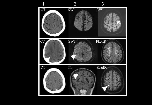
Introducción. La angiopatía amiloide cerebral (AAC) se caracteriza por el depósito de β-amiloide en la pared de las arterias de pequeño y mediano calibre de la corteza cerebral y leptomeninges. La sintomatología puede incluir eventos transitorios de diverso origen, pudiendo ser difícil el diagnóstico diferencial en el momento agudo. Caso clínico. Paciente con antecedente de ictus isquémico, que presentó crisis somestésicas secundarias a microsangrado cerebral por AAC que simulaban ataques isquémicos transitorios. Se redujo la medicación antiagregante y posteriormente se inició tratamiento antiepiléptico desapareciendo los episodios. Las secuencias de susceptibilidad paramagnética en Resonancia Magnética cerebral fueron de gran utilidad para el diagnóstico (SWI-RM). Conclusiones. Los microsangrados de la AAC pueden manifestarse en forma de crisis, simulando déficits focales sensitivos transitorios que pueden ser atribuidos erróneamente a isquemia cerebral. Este caso sugiere que, incluso si existe historia de accidentes cerebrovasculares isquémicos, deberían considerarse microsangrados por AAC como causa posible de pseudoaccidentes isquémicos transitorios. Las secuencias SWI-RM pueden ser útiles para identificarlos. De este modo puede prevenirse el inicio o escalada del tratamiento antiagregante o anticoagulante, evitando complicaciones potencialmente devastadoras.

Descargas

Los datos de descargas todavía no están disponibles.

Citas

1. VINTERS HV. Cerebral amyloid angiopathy. A critical review. Stroke 1987; 18: 311-324.

https://doi.org/10.1161/01.STR.18.2.311

2. GREENBERG SM, FINKLESTEIN SP, SCHAEFER PW. Petechial hemorrhages accompanying lobar hemorrhage: detection by gradient-echo MRI. Neurology 1996; 46: 1751-1754.

https://doi.org/10.1212/WNL.46.6.1751

3. GREENBERG SM, VONSATTEL JP, STAKES JW, GRUBER M, FINKLESTEIN SP. The clinical spectrum of cerebral amyloid angiopathy: presentations without lobar hemorrhage. Neurology 1993; 43: 2073-2079.

https://doi.org/10.1212/WNL.43.10.2073

4. THANVI B, ROBINSON T. Sporadic cerebral amyloid angiopathy--an important cause of cerebral haemorrhage in older people. Age Ageing 2006; 35: 565-571.

https://doi.org/10.1093/ageing/afl108

5. KARABATSOU K, LECKY BR, RAINOV NG, BROOME JC, WHITE RP. Cerebral amyloid angiopathy with symptomatic or occult subarachnoid haemorrhage. Eur Neurol 2007; 57: 103-105.

https://doi.org/10.1159/000098060

6. KLEINIG TJ, KILEY M, THOMPSON PD. Acute convexity subarachnoid haemorrhage: a cause of aura-like symptoms in the elderly. Cephalalgia 2008; 28: 658-663.

https://doi.org/10.1111/j.1468-2982.2008.01570.x

7. HAACKE EM, DELPROPOSTO ZS, CHATURVEDI S, SEHGAL V, TENZER M, NEELAVALLI J et al. Imaging cerebral amyloid angiopathy with susceptibility-weighted imaging. AJNR Am J Neuroradiol 2007; 28: 316-317.

8. TONG KA, ASHWAL S, HOLSHOUSER BA, SHUTTER L, HERIGAULT G, HAACKE EM et al. Hemorrhagic shearing lesions in children and adolescents with posttraumatic diffuse axonal injury: improved detection and initial results. Radiology 2003; 227: 332-339.

https://doi.org/10.1148/radiol.2272020176

9. MAIA LF, MACKENZIE IR, FELDMAN HH. Clinical phenotypes of Cerebral Amyloid Angiopathy. J Neurol Sci 2007; 257: 23-30.

https://doi.org/10.1016/j.jns.2007.01.054

10. DEVINSKY O, KELLEY K, PORTER RJ, THEODORE WH. Clinical and electroencephalographic features of simple partial seizures. Neurology 1988; 38: 1347-1352.

https://doi.org/10.1212/WNL.38.9.1347

11. IZENBERG A, AVIV RI, DEMAERSCHALK BM, DODICK DW, HOPYAN J, BLACK SE et al. Crescendo transient Aura attacks: a transient ischemic attack mimic caused by focal subarachnoid hemorrhage. Stroke 2009; 40: 3725-3729.

https://doi.org/10.1161/STROKEAHA.109.557009

12. SMITH DB, HITCHCOCK M, PHILPOTT PJ. Cerebral amyloid angiopathy presenting as transient ischemic attacks. Case report. J Neurosurg 1985; 63: 963-964.

https://doi.org/10.3171/jns.1985.63.6.0963

13. SOO YO, YANG SR, LAM WW, WONG A, FAN YH, LEUNG HH et al. Risk vs benefit of anti-thrombotic therapy in ischaemic stroke patients with cerebral microbleeds. J Neurol 2008; 255: 1679-1686.

https://doi.org/10.1007/s00415-008-0967-7

14. GREGOIRE SM, JAGER HR, YOUSRY TA, KALLIS C, BROWN MM, WERRING DJ. Brain microbleeds as a potential risk factor for antiplatelet-related intracerebral haemorrhage: hospital-based, case-control study. J Neurol Neurosurg Psychiatry 2010; 81: 679-684.

https://doi.org/10.1136/jnnp.2009.198994

15. DEVINSKY O, KELLEY K, PORTER RJ, THEODORE WH. Clinical and electroencephalographic features of simple partial seizures. Neurology 1988; 38: 1347-1352.

https://doi.org/10.1212/WNL.38.9.1347

Descargas

Archivos adicionales

Publicado

05-09-2011

Cómo citar

1.
Gasca Salas C, García de Eulate R, Pastor P. Utilidad de las secuencias potenciadas en susceptibilidad paramagnética (SWI) para diferenciar crisis somestésicas de accidentes isquémicos transitorios en un paciente con angiopatía amiloide cerebral. An Sist Sanit Navar [Internet]. 5 de septiembre de 2011 [citado 29 de enero de 2026];34(2):317-21. Disponible en: https://recyt.fecyt.es/index.php/ASSN/article/view/12203

Número

Sección

Notas clínicas

Artículos más leídos del mismo autor/a

Artículos similares

<< < 16 17 18 19 20 21 22 23 24 25 > >> 

También puede Iniciar una búsqueda de similitud avanzada para este artículo.