Metástasis cutáneas de cáncer de recto
Palabras clave:
Cáncer rectal. Metástasis cutáneas.Resumen
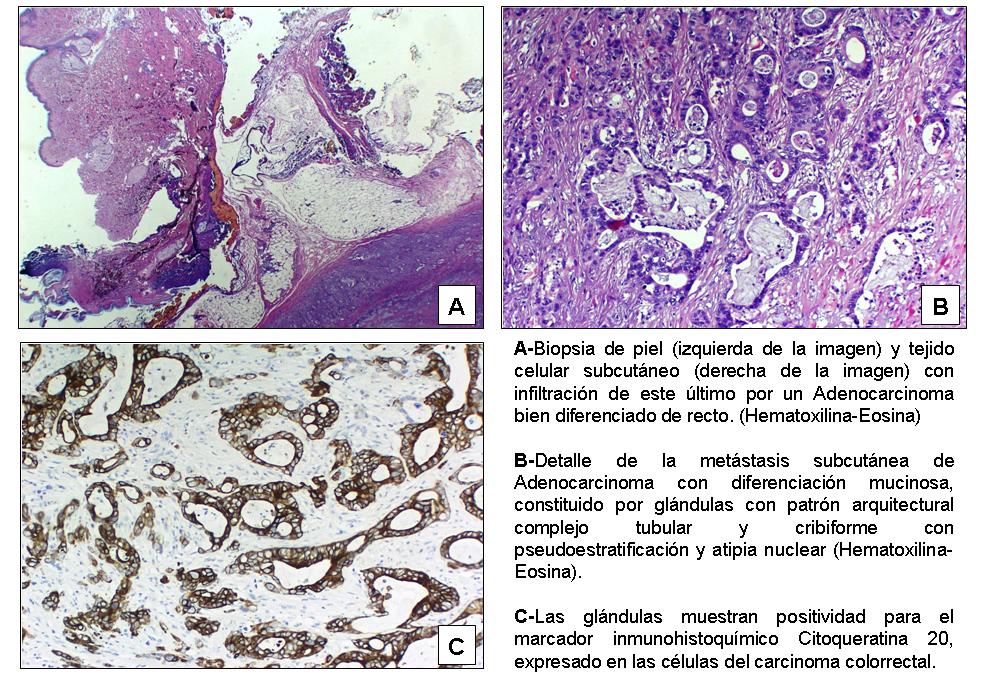
El carcinoma colorrectal es un tumor que con muy poca frecuencia origina metástasis cutáneas, y cuando lo hace raramente es por vía hematógena. Presentamos el caso de un varón de 55 años diagnosticado de un adenocarcinoma de recto (tercio inferior) estadio T3N2M0. Tratado inicialmente con radioquimioterapia neoadyuvante, fue intervenido ocho semanas después realizándose una amputación abdominoperineal extendida. El resultado anatomopatológico fue de adenocarcinoma mucinoso de recto, estadio ypT3bN1. Tras un postoperatorio sin complicaciones el paciente recibió tratamiento quimioterápico con capecitabina.
A los 18 meses el paciente refirió la aparición progresiva de nódulos subcutáneos en distintas localizaciones. En la tomografía computarizada de control se objetivaron múltiples imágenes sugestivas de metástasis a nivel hepático y pulmonar, así como lesiones subcutáneas. La exéresis-biopsia de uno de los nódulos subcutáneos corroboró la sospecha de metástasis de adenocarcinoma de recto. Se valoró tratamiento quimioterápico que no llegó a administrarse por el rápido deterioro del paciente que llevó al exitus.
Descargas
Citas
1. ARDANAZ E, MORENO IRIBAS C, PÉREZ DE RADA ME, EZPONDA C, AGORRETA A et al. Incidencia y mortalidad por cáncer en Navarra 1993-1997. An Sist Sanit Navar 2001; 24: 339-362.
2. HERRERA J, BALÉN E, ZAZPE C, LERA JM. Estado actual del tratamiento quirúrgico de las metástasis hepáticas de origen colorrectal: una visión práctica. An Sist Sanit Navar 2002; 25: 317-325.
3. LOOKINGBILL DP, SPANGLER N, HELM KF. Cutaneous metastases in patients with metastatic carcinoma: a retrospective study of 4020 patients. J Am Acad Dermatol 1993; 29: 228-236.
https://doi.org/10.1016/0190-9622(93)70173-Q
4. SARID D, WIGLER N, GUTKIN Z, MERIMSKY O, LEIDER-TREJO L, RON IG. Cutaneous and subcutaneous metastases of rectal cancer. Int J Clin Oncol 2004; 9: 202-205.
https://doi.org/10.1007/s10147-004-0389-1
5. SCHWARTZ RA. Cutaneous metastatic disease. J Am Acad Dermatol 1995; 33: 161-182.
https://doi.org/10.1016/0190-9622(95)90231-7
6. GMITTER TL, DHAWAN SS, PHILLIPS MG, WISZNIAK J. Cutaneous metastases of colonic adenocarcinoma. Cutis 1990; 46: 66-68.
7. NASHAN D, MEISS F, BRAUN-FALCO M, REICHENBERGER S. Cutaneous metastases from internal malignancies. Dermatol Ther 2010; 23: 567-580.
https://doi.org/10.1111/j.1529-8019.2010.01364.x
8. PLAZA JA, PÉREZ-MONTIEL D, MAYERSON J, MORRISON C, SUSTER S. Metastases to soft tissue: a review of 118 cases over a 30-year period. Cancer 2008; 112: 193-203.
https://doi.org/10.1002/cncr.23151
9. NASHAN D, MÜLLER ML, BRAUN-FALCO M, REICHENBERGER S, SZEIMIES RM, BRUCKNER-TUDERMAN L. Cutaneous metastases of visceral tumours: a review. J Cancer Res Clin Oncol 2009; 135: 1-14.
https://doi.org/10.1007/s00432-008-0432-0
10. HU SC, CHEN GS, WU CS, CHAI CY, CHEN WT, LAN CC. Rates of cutaneous metastases from different internal malignancies: experience from a Taiwanese medical center. J Am Acad Dermatol 2009; 60: 379-387.
https://doi.org/10.1016/j.jaad.2008.10.007
11. FERNÁNDEZ-FLORES A. Cutaneous metastases: a study of 78 biopsies from 69 patients. Am J Dermatopathol 2010; 32: 222-239.
https://doi.org/10.1097/DAD.0b013e3181b348f8
12. BANSAL R, PATEL T, SARIN J, PARIKH B, OHRI A, TRIVEDI P. Cutaneous and subcutaneous metastases from internal malignancies: an analysis of cases diagnosed by fine needle aspiration. Diagn Cytopathol 2011; 39: 882-887.
https://doi.org/10.1002/dc.21485
13. MATTHIESSEN LW, CHALMERS RL, SAINSBURY DC, VEERAMANI S, KESSELL G, HUMPHREYS AC et al. Management of cutaneous metastases using electrochemotherapy. Acta Oncol 2011; 50: 621-629.
https://doi.org/10.3109/0284186X.2011.573626
14. GAZONI LM, HEDRICK TL, SMITH PW, FRIEL CM, SWENSON BR, ADAMS JD et al. Cutaneous metastases in patients with rectal cancer: a report of six cases. Am Surg 2008; 74: 138-140.
Publicado
Cómo citar
Número
Sección
Licencia
Derechos de autor 2014 Anales del Sistema Sanitario de Navarra

Esta obra está bajo una licencia internacional Creative Commons Atribución-CompartirIgual 4.0.
La revista Anales del Sistema Sanitario de Navarra es publicada por el Departamento de Salud del Gobierno de Navarra (España), quien conserva los derechos patrimoniales (copyright ) sobre el artículo publicado y favorece y permite la difusión del mismo bajo licencia Creative Commons Reconocimiento-CompartirIgual 4.0 Internacional (CC BY-SA 4.0). Esta licencia permite copiar, usar, difundir, transmitir y exponer públicamente el artículo, siempre que siempre que se cite la autoría y la publicación inicial en Anales del Sistema Sanitario de Navarra, y se distinga la existencia de esta licencia de uso.


