Osteoblastoma del hueso ganchoso
DOI:
https://doi.org/10.23938/ASSN.0246Palabras clave:
Osteoblastoma. Hueso ganchoso. Carpo. Curetaje.Resumen
El osteoblastoma es un tumor óseo primario poco frecuente. Su presentación en la extremidad superior y más específicamente en los huesos carpianos es inusual. Se presenta un caso de osteoblastoma localizado en el hueso ganchoso y ser revisa el tratamiento realizado en esta infrecuente localización.
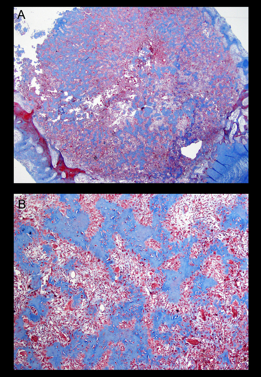
Paciente varón joven con dolor y tumefacción en el dorso de la mano de un año de evolución, refractario al tratamiento médico. Las pruebas complementarias mostraron una tumoración lítica en el hueso ganchoso con características no agresivas. Fue tratado mediante curetaje y relleno con injerto autólogo de cresta ilíaca. El estudio de anatomía patológica diagnosticó que se trataba de un osteoblastoma.
El resultado fue satisfactorio, con desaparición total del dolor e imagen radiológica de restitución completa del defecto óseo, sin signos de recidiva a los 4 años.
El tratamiento debe ser el curetaje más injerto autólogo. En cambio, en los casos con datos agresivos se puede plantear la resección del hueso afectado.
Descargas
Citas
1. HEALEY JH, GHELMAN B. Osteoid osteoma and osteoblastoma. Current concepts and recent advances. Clin Orthop Relat Res 1986; 204: 76-85.
https://doi.org/10.1097/00003086-198603000-00008
2. LICHTENSTEIN L. Benign osteoblastoma; A category of osteoid and bone forming tumors other than classical osteoid osteoma, wich may be mistaken for giant cell tumor or osteogenic sarcoma. Cancer 1956; 9: 1044-1052.
https://doi.org/10.1002/1097-0142(195609/10)9:5<1044::AID-CNCR2820090523>3.0.CO;2-O
3. JAFFE HL. Benign osteoblastoma. Bull Hosp Joint Dis 1956; 17: 141-151.
4. DAHLIN DC, JOHNSON EW. Giant osteoid osteoma. J Bone Joint Surg Am 1954; 36: 559-572.
https://doi.org/10.2106/00004623-195436030-00011
5. LUCAS DR, UNNI KK, MC LEOD RA, O'CONNOR MI, SIM FH. Osteoblastoma: clinicopathologic study of 306 cases. Hum Pathol 1994; 25: 117-134.
https://doi.org/10.1016/0046-8177(94)90267-4
6. SFORZO CR, SCARBOROUGH MT, WRIGHT TW. Bone-forming tumors of the upper extremity and Ewing's sarcoma. Hand Clin 2004; 20: 303-315.
https://doi.org/10.1016/j.hcl.2004.03.014
7. MANGINI U. Tumors of the skeleton of the hand. Bull Hosp Joint Dis 1967; 28: 61-103.
8. KROON HM, SCHURMANS J. Osteoblastoma: clinical and radiologic findings in 98 new cases. Radiology 1990; 175: 783-790.
https://doi.org/10.1148/radiology.175.3.2343130
9. MENON J, RANKIN D, JACOBSON C. Recurrent osteoblastoma of the carpal hamate. Orthopedics 1988; 11: 609-611.
https://doi.org/10.3928/0147-7447-19880401-12
10. ASPERGIS E, TSAMOURI M, THEODORATOS G, MARIS I, ANTONIOU N. Osteoblastoma of the hamate bone: a case report. J Hand Surg Am 1993; 18: 137-140.
https://doi.org/10.1016/0363-5023(93)90260-A
11. VAN DIJK M, WINTERS HA, WUISMAN PI. Recurrent osteoblastoma of the hamate bone. A two-stage reconstruction with a free vascularised iliac crest flap. J Hand Surg Br 1999; 24: 501-505.
https://doi.org/10.1054/JHSB.1999.0235
12. MUÑOZ J, DE LAS HERAS J, ROJO JM, NARBONA J, PARRA J, DEL CERRO M. Osteoblastoma del hueso ganchoso. A propósito de un caso. Rev Iberoam Cir Mano 2009; 37: 133-137.
https://doi.org/10.1055/s-0037-1606758
13. GDOURA F, TRIGUI M, ELLOUZE Z, HAMED YB, AYADI K, KESKES H. Hamatum osteoblastoma. Orthop Traumatol Surg Res 2010; 96: 712-716.
https://doi.org/10.1016/j.otsr.2010.02.014
14. ATESOK K, ALMAN BA, SCHEMITSCH EH, PEYSER A, MANKIN H. Osteoid osteoma and osteoblastoma. J Am Acad Orthop Surg 2011; 19: 678-689.
https://doi.org/10.5435/00124635-201111000-00004
15. OLIVEIRA CR, MENDONÇA BB, CAMARGO OP, PINTO EM, NASCIMENTO SA, LATORRE MDO R et al. Classical osteoblastoma, atypical osteoblastoma, and osteosarcoma: a comparative study based on clinical, histological, and biological parameters. Clinics (Sao Paulo) 2007; 62: 167-174.
https://doi.org/10.1590/S1807-59322007000200012
16. DORFMAN HD, WEISS SW. Bordeline osteoblastic tumors: problems in the differential diagnosis of agressive osteoblsatoma and low-grade osteosarcoma. Semin Diagn Pathol 1984; 1: 215-234.
17. JACKSON RP. Recurrent osteoblastoma: a review. Clin Orthop Relat Res 1978; 131: 229-233.
https://doi.org/10.1097/00003086-197803000-00037
18. ORTEGA A, GARCÍA A, CRESPO A. Osteoblastoma agresivo del hueso grande. Rev Iberoam Cir Mano 2012; 40: 42-46.
Publicado
Cómo citar
Número
Sección
Licencia
Derechos de autor 2016 Anales del Sistema Sanitario de Navarra

Esta obra está bajo una licencia internacional Creative Commons Atribución-CompartirIgual 4.0.
La revista Anales del Sistema Sanitario de Navarra es publicada por el Departamento de Salud del Gobierno de Navarra (España), quien conserva los derechos patrimoniales (copyright ) sobre el artículo publicado y favorece y permite la difusión del mismo bajo licencia Creative Commons Reconocimiento-CompartirIgual 4.0 Internacional (CC BY-SA 4.0). Esta licencia permite copiar, usar, difundir, transmitir y exponer públicamente el artículo, siempre que siempre que se cite la autoría y la publicación inicial en Anales del Sistema Sanitario de Navarra, y se distinga la existencia de esta licencia de uso.


