Metástasis en cuero cabelludo como primera manifestación de cáncer de tiroides mixto folicular-papilar
DOI:
https://doi.org/10.23938/ASSN.0345Palabras clave:
Cáncer tiroides mixto folicular-papilar. Metástasis. Piel.Resumen
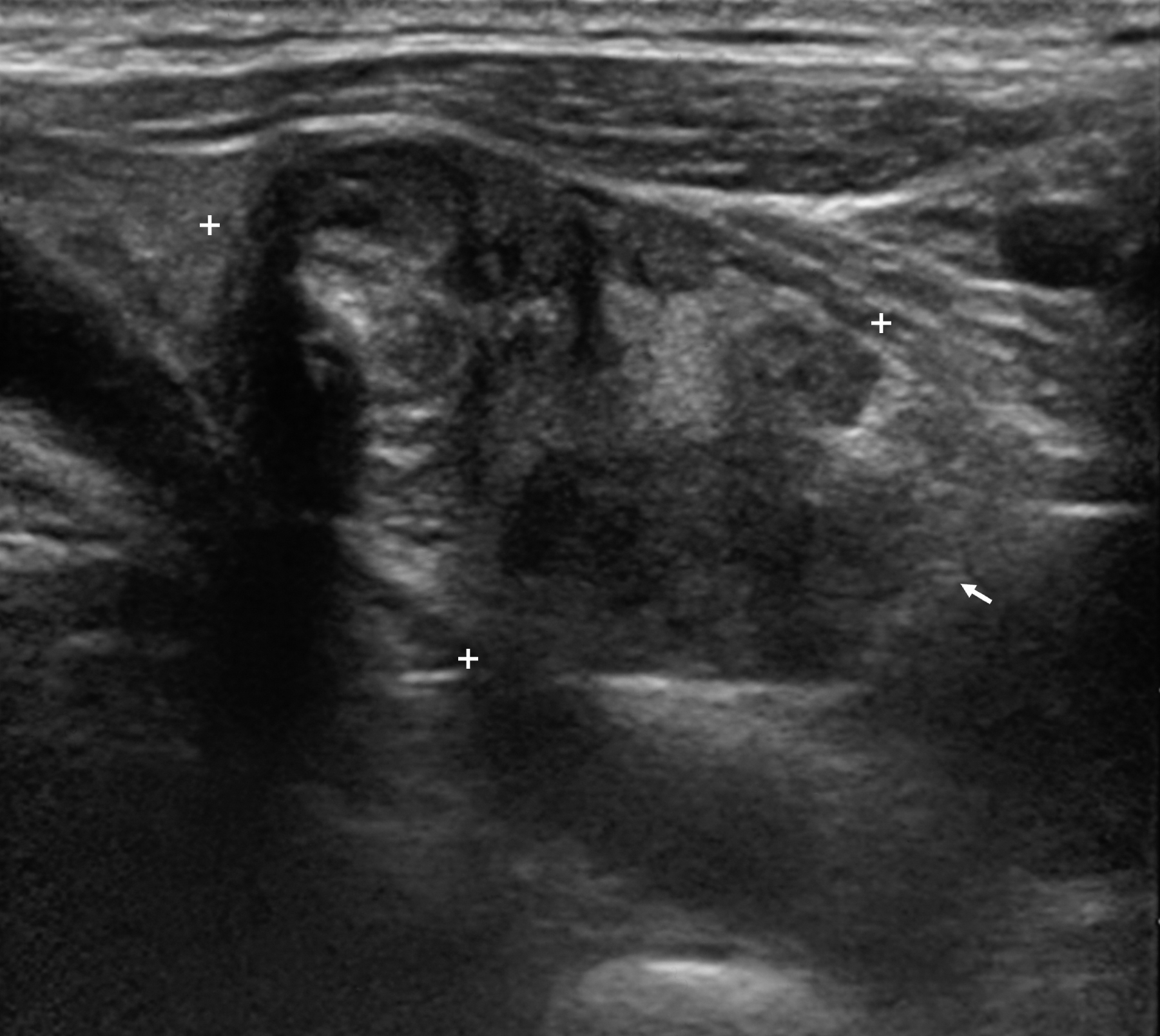
La aparición de metástasis a distancia en los cánceres diferenciados de tiroides es poco frecuente, y cuando se detectan en piel, suelen darse en el contexto de una enfermedad diseminada después de muchos años de evolución desde el diagnóstico. Se presenta el caso de una paciente de 77 años, sin enfermedad tiroidea conocida que debutó con una metástasis en región parietooccipital del cuero cabelludo en la que se identificó tejido tiroideo. En la ecografía tiroidea se identificó un nódulo informado como tumor folicular y el estudio de extensión precirugía fue negativo. Se le hizo tiroidectomía total más vaciamiento ganglionar del compartimento central y el estudio AP fue informado de carcinoma mixto folicular-papilar sin afectación ganglionar. En el RCT post-I131 (dosis de 104,7 mCi) se detectaron micrometástasis pulmonares, y a los 2 meses de una segunda dosis de I131 (125 mCi), la tiroglobulina fue indetectable.
El cáncer tiroideo debe incluirse en el diagnóstico diferencial de las metástasis cutáneas, puesto que su diagnóstico y tratamiento temprano, excepto en los casos de enfermedad muy avanzada, el pronóstico de su hallazgo suele ser más favorable que en el resto de tumores sólidos.
Descargas
Citas
1. SOMOZA AD, SAMAAN S, DHANDA-PATIL R, MUTASIM DF. Cutaneous metastasis as the presenting sign of papillary thyroid carcinoma. J Cutan Pathol 2012; 40: 274-278.
https://doi.org/10.1111/cup.12044
2. BRUGLIA M, PALMONELLA G, SILVETTI F Y COL. Skin and thigh muscle metastasis from papillary thyroid cancer. Singapore Med J 2009; 50: e61-e64.
3. KOLLER EA, TOURTELOT JB, PAK HS, COBB MW, MOAD JC, FLYNN EA. Papillary and follicular thyroid carcinoma metastatic to the skin: a case report and review of the literature. Thyroid 1998; 8: 1045-1050.
https://doi.org/10.1089/thy.1998.8.1045
4. DAHL PR, BRODLAND DG, GOELLNER JR, HAY ID. Thyroid carcinoma metastatic to the skin: a cutaneous manifestation of a widely disseminated malignancy. J Am Acad Dermatol 1997; 36: 531-537.
https://doi.org/10.1016/S0190-9622(97)70239-1
5. QUINN TR, DUNCAN LM, ZEMBOWICZ A, FAQUIN WC. Cutaneous metastases of follicular thyroid carcinoma: a report of four cases and a review of the literature. Am J Dermatopathol 2005; 27: 306-312.
https://doi.org/10.1097/01.dad.0000164606.33779.6f
6. KHAN OA, ROSES DF, PECK V. Papillary thyroid carcinoma metastatic to skin may herald aggressive disease. Endocr Pract 2010; 16: 446-448.
https://doi.org/10.4158/EP09178.CR
7. LISSAK B, VANNETZEL JM, GALLOUEDEC N, BERROD JL, RIEU M. SOLITARY skin metastasis as the presenting feature of differentiated thyroid microcarcinoma: report of two cases. J Endocrinol Invest 1995; 18: 813-816.
https://doi.org/10.1007/BF03349817
8. KARABEKIR H, POLAT C, AKTEPE F, GOCMEN-MAS N. Unusual scalp metastasis from follicular thyroid carcinoma. Saudi Med J 2011; 32: 849-851.
9. KAMANGAR F, MCCALMONT T, SHINKAI K. Cutaneous metastasis of thyroid carcinoma mimicking Mondor disease. J Am Acad Dermatol 2012; 67: e79-e81.
Archivos adicionales
Publicado
Cómo citar
Número
Sección
Licencia

Esta obra está bajo una licencia internacional Creative Commons Atribución-CompartirIgual 4.0.
La revista Anales del Sistema Sanitario de Navarra es publicada por el Departamento de Salud del Gobierno de Navarra (España), quien conserva los derechos patrimoniales (copyright ) sobre el artículo publicado y favorece y permite la difusión del mismo bajo licencia Creative Commons Reconocimiento-CompartirIgual 4.0 Internacional (CC BY-SA 4.0). Esta licencia permite copiar, usar, difundir, transmitir y exponer públicamente el artículo, siempre que siempre que se cite la autoría y la publicación inicial en Anales del Sistema Sanitario de Navarra, y se distinga la existencia de esta licencia de uso.


