Metástasis intestinales yeyunales, forma de presentación de un carcinoma pulmonar
DOI:
https://doi.org/10.23938/ASSN.0060Palabras clave:
Metástasis yeyunales. Cáncer de pulmón. Anemia ferropénica.Resumen
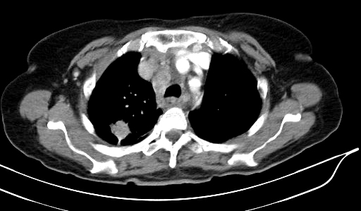
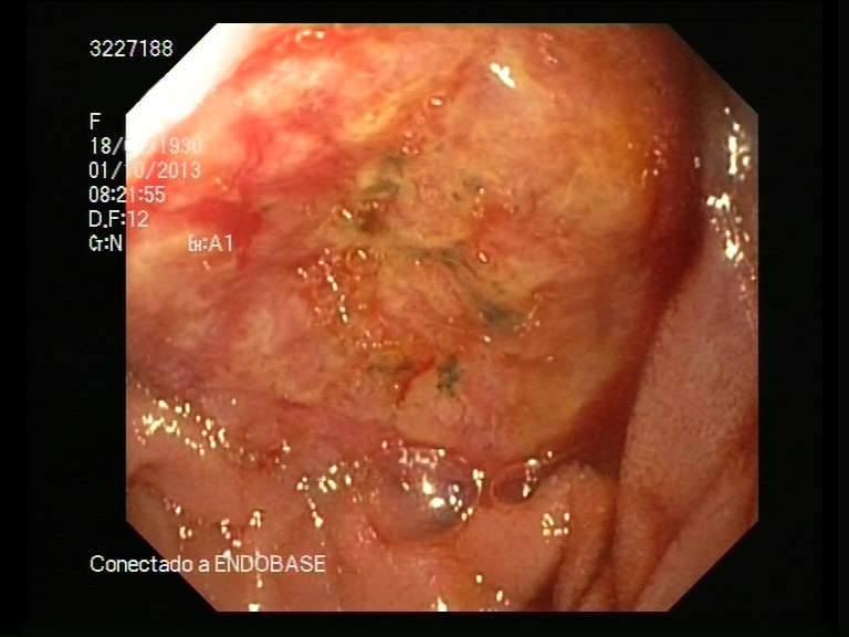
Los tumores primarios de intestino delgado son muy infrecuentes, siendo todavía más raros los metastásicos. Es excepcional que las metástasis de intestino delgado se manifiesten antes que el tumor primario. La presentación clínica puede requerir una resección quirúrgica intestinal motivada por perforación, hemorragia, obstrucción-suboclusión intestinal e incluso invaginación intestinal. La supervivencia, es escasa y generalmente no supera las 20 semanas, independientemente del tratamiento que se realice.
Descargas
Archivos adicionales
Publicado
Cómo citar
Número
Sección
Licencia
Derechos de autor 2015 Anales del Sistema Sanitario de Navarra

Esta obra está bajo una licencia internacional Creative Commons Atribución-CompartirIgual 4.0.
La revista Anales del Sistema Sanitario de Navarra es publicada por el Departamento de Salud del Gobierno de Navarra (España), quien conserva los derechos patrimoniales (copyright ) sobre el artículo publicado y favorece y permite la difusión del mismo bajo licencia Creative Commons Reconocimiento-CompartirIgual 4.0 Internacional (CC BY-SA 4.0). Esta licencia permite copiar, usar, difundir, transmitir y exponer públicamente el artículo, siempre que siempre que se cite la autoría y la publicación inicial en Anales del Sistema Sanitario de Navarra, y se distinga la existencia de esta licencia de uso.


