Miocarditis aguda: diagnóstico mediante resonancia magnética cardiaca
DOI:
https://doi.org/10.23938/ASSN.0167Palabras clave:
Resonancia magnética. Corazón. Miocardiopatías. Miocarditis.Resumen
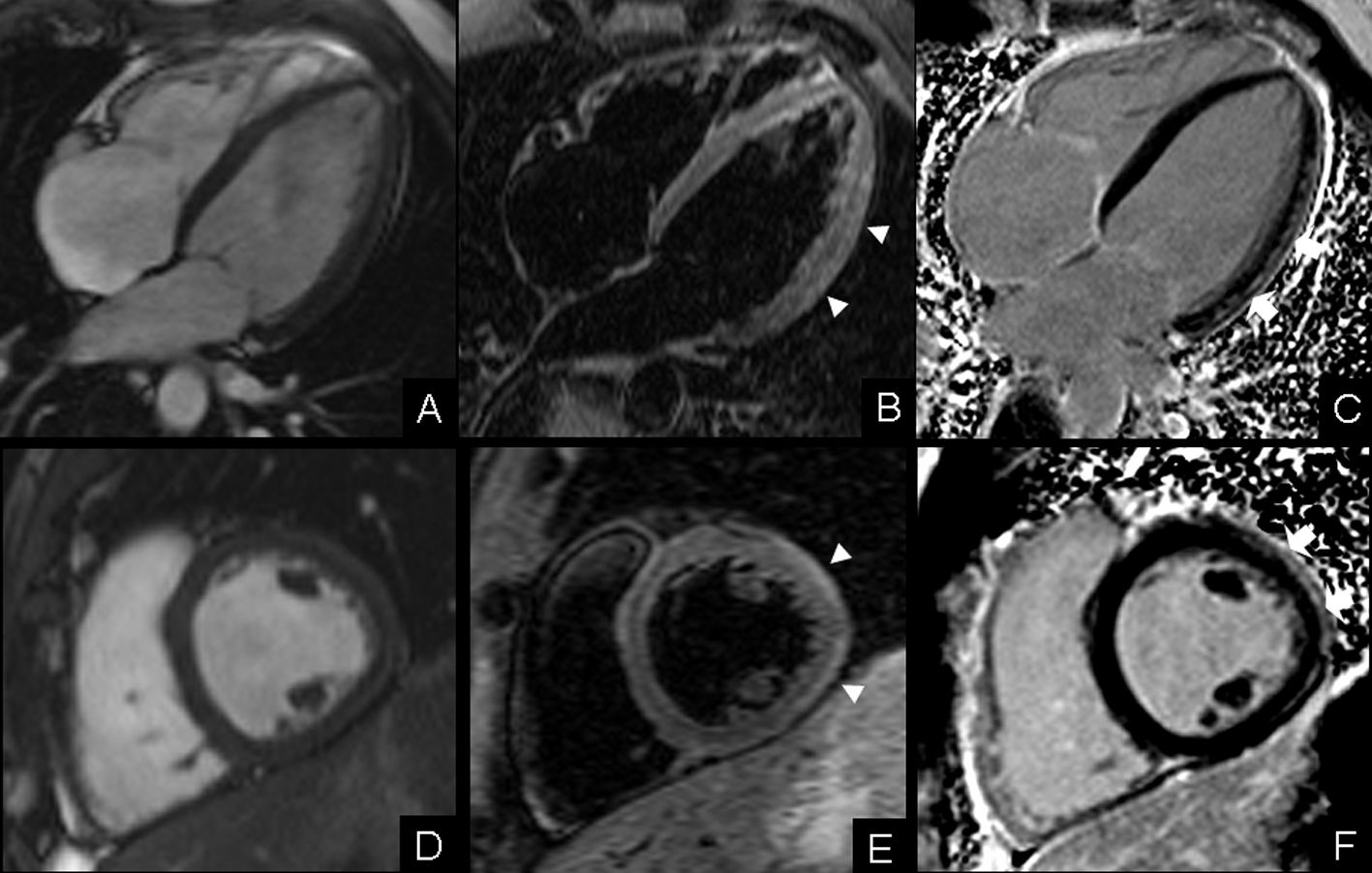
Las miocardiopatías son una causa frecuente de morbimortalidad. Entre las miocardiopatías específicas se incluye la miocarditis, una entidad que con frecuencia se presenta con manifestaciones clínicas inespecíficas y puede resultar de difícil diagnóstico o incluso pasar desapercibida. El éxito de las técnicas tradicionalmente empleadas para el diagnóstico de miocarditis, incluyendo la biopsia endomiocárdica, es limitado. Tras su implantación en la práctica clínica, la resonancia magnética (RM) cardiaca se ha convertido en la mejor técnica diagnóstica no invasiva disponible para el diagnóstico de miocarditis aguda.Descargas
Descargas
Archivos adicionales
Publicado
Cómo citar
Número
Sección
Licencia
La revista Anales del Sistema Sanitario de Navarra es publicada por el Departamento de Salud del Gobierno de Navarra (España), quien conserva los derechos patrimoniales (copyright ) sobre el artículo publicado y favorece y permite la difusión del mismo bajo licencia Creative Commons Reconocimiento-CompartirIgual 4.0 Internacional (CC BY-SA 4.0). Esta licencia permite copiar, usar, difundir, transmitir y exponer públicamente el artículo, siempre que siempre que se cite la autoría y la publicación inicial en Anales del Sistema Sanitario de Navarra, y se distinga la existencia de esta licencia de uso.


