Adenoma nefrogénico prostático. A propósito de un caso
Palabras clave:
0Resumen
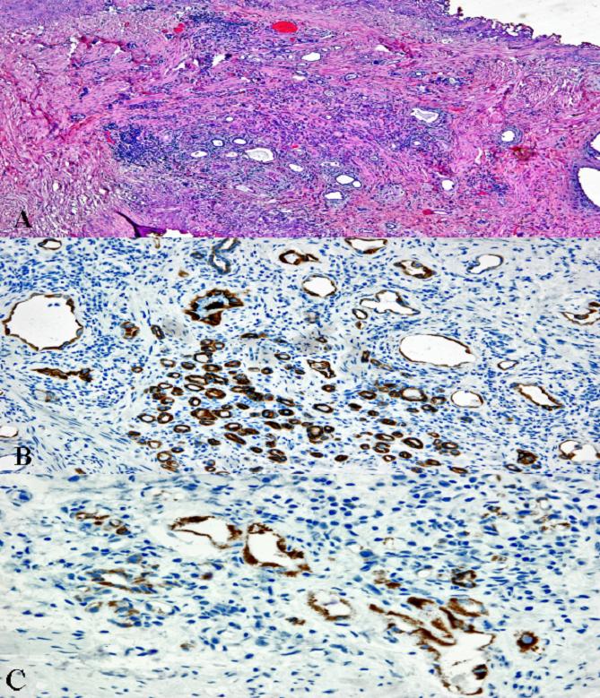
El adenoma nefrogénico es una lesión pseudotumoral rara de origen urotelial que afecta preferentemente a la vejiga urinaria, y que ha recibido varios nombres en la literatura. Se caracteriza por ser una entidad benigna asociada a ciertos estados irritativos de la vía urinaria. Debido a ello, se ha sugerido que su naturaleza puede corresponder a una metaplasia del urotelio. Existen pocos casos documentados de adenoma nefrogénico de localización prostática (metaplasia nefrogénica). Describimos nuestra experiencia y revisamos la bibliografía. Nuestro objetivo es poner en relevancia la rareza de esta patología y sus implicaciones terapéuticas.Descargas
Citas
1. RODRÍGUEZ-MONTES CE, ALVARADO-CABRERO I. Nephrogenic adenoma of the urinary bladder. A lesion that can be confused with carcinoma. Report of 4 cases. Gac Med Mex 2001; 137: 67-72.
2. PEEKER R, ALDENBORG F, FALL M. Nephrogenoc adenoma: a study with special reference to clinical presentation. Br J Urol 1997; 80: 539-542.
https://doi.org/10.1046/j.1464-410X.1997.00418.x
3. GILCREASE MZ, DELGADO R, VUITCH F, ALBORES-SAAVEDRA J. Clear cell Adenocarcinoma and nephrogenic adenoma of the urethra and urinary bladder: a Histopathology and immunohistochemical comparison. Hum Pathol 1998; 29: 1451-1456.
https://doi.org/10.1016/S0046-8177(98)90015-6
4. SOUSA ESCANDÓN MA, PÉREZ VALCÁRCEL J, GONZÁLEZ FERNÁNDEZ M, GONZÁLEZ RODRÍGUEZ A, LAPEÑA VILLARROYA JA, URIBARRI GONZÁLEZ C. Nephrogenic adenoma of the bladder: metaplasia or embryologic alteration? Actas Urol Esp 2001; 25: 307-311.
https://doi.org/10.1016/S0210-4806(01)72621-6
5. FRIEDMAN N, KUHLENBECK H: Adenomatoid tumors of the urinary bladder reproducing renal structures (nephrogenic adenomas). J Urol 1950; 64: 657-670.
https://doi.org/10.1016/S0022-5347(17)68693-2
6. BHAGAVAN BS, TIAMSON EM, WENK RE, BERGER BW, HAMAMOTO G, EGGLESTON JC : Nephrogenic adenoma of the urinary bladder and urethra. J Hum Pathol 1981; 12: 907-916.
https://doi.org/10.1016/S0046-8177(81)80196-7
7. SORENSEN FB, JACOBSEN F, NIELSEN JB, MOMMSEN S. Nephroid metaplasia of the urinary tract. A survey of the literature, with the contribution of 5 new immunohistochemically studies cases, including one case examined by electron microscopy. Acta Pathol Microbiol Immunol Scand A 1987; 95: 67-81.
https://doi.org/10.1111/j.1699-0463.1987.tb00010_95A.x
8. SIKRI K, FOSTER C, MACHUGH N, MARSHALL R. Localization of Tamm-Horsfall glicoprotein in the human kidney using immuno-fluorescence and immuno-electron microscopical techniques. J Anat 1981; 132: 597-605.
9. PAMPLONA M, PANIAGUA P, GIMENO F, AVILA E, EXTRAMIANA J, GONZÁLEZ P, et al.: Adenoma nefrogénico en divertículo uretral femenino. Actas Urol Esp 1990; 14: 277-278.
10. FOURNIER G, MENUT P, MOAL MC, HARDY E, VOLANT A, MANGIN P: Nephrogenic adenoma of the bladder in renal transplant recipients: a report of 9 cases with assessment of recipients of deoxyribonucleid acid ploidy and long term follow-up. J Urol 1996; 156: 41-44.
https://doi.org/10.1016/S0022-5347(01)65932-9
11. HUSAIN AN, ARMIN AR, SCHUSTER GA. Nephrogenic metaplasia of urinary tract in children: report of three cases and review of the literature. Pediatr Pathol 1988; 8: 293-300.
https://doi.org/10.3109/15513818809042972
12. OLIVA E. YOUNG RH. Nephrogenic Adenoma of the urinary tract: A review of the microscopic appearance of 80 cases with emphasis on unusual features. Mod Pathol 1995; 8: 722-730.
13. YOUNG RH, EBLE JN. Non-neoplastic disorders of the urinary bladder. En:Bostwick DG y Eble JN Eds., Urologic Surgical Pathology, Mosby, St Louis, 1997.
14. WHANG M, KATZ L, ONGCAPIN E, GEFFNER S, FRIEDMAN G, MULGAONKAR S et al. Nephrogenic adenomas occurring in a patient with simultaneous kidney-pancreas transplant. Urology 2000; 55: 949.
https://doi.org/10.1016/S0090-4295(00)00465-9
15. LADENHEIM H, FRABLE W. Cytology of a recurrent nephrogenic adenoma in a renal transplant patient. Diagn Cytopathol 2009; 37: 468-470.
https://doi.org/10.1002/dc.21056
16. KILCIER M, TAN O, OZGOK Y, TAHMAZ L, DEVECI S, ERDURAN D. Nephrogenic adenoma of the bladder after intravesical bacillus Calmette Guerin treatment. Urol Int 2000; 64: 229-232.
https://doi.org/10.1159/000030538
17. ISIMBALDI G, DI NUOVO F, SIRONI M, CATANIA G, BONACINA R, PRIVITERA O et al. Nephrogenic adenoma of the bladder. Morphological and immunophenotypic study with particular attention to differential diagnosis. Pathologica 1999; 91: 192-197.
18. GILCREASE MZ, DELGADO R, VUITCH F, ALBORES-SAAVEDRA J. Clear cell adenocarcinoma and nephrogenic adenoma of the urethra and urinary bladder: A histopathologic and immunohistochemical comparison. Hum Pathol 1998; 29: 1451-1456.
https://doi.org/10.1016/S0046-8177(98)90015-6
19. MOLINIÉ V, BAUMERT H. New markers in prostate biopsies. Actas Urol Esp 2007; 31: 1009-1024.
https://doi.org/10.1016/S0210-4806(07)73764-6
20. MOLINIE V. Minute focus, suspected focus andhigh-grade prostatic intraepithelial neoplasia. What is the significance? What are the consequences? Prog Urol 2004; 14: 2-6.
21. EPSTEIN JI. Diagnosis and reporting of limited adenocarcinoma of the prostate on neddle biopsy. Mod Pathol 2004; 17: 307-315.
https://doi.org/10.1038/modpathol.3800050
22. EVANS AJ. Alpha-methylacyl Coa racemasa (P504S): over-view and potential uses in diagnostic pathology as applied to prostate needle biopsies. J Clin Pathol 2003; 56: 892-897.
https://doi.org/10.1136/jcp.56.12.892
23. HAMMEED O, HUMPHREY PA. Immunohistochemistry in diagnostic surgical pathology of the prostate. Semin Diagn Pathol 2005; 22: 88-104.
https://doi.org/10.1053/j.semdp.2005.11.001
24. CARELLA R, DELEONARDI G, D'ERRICO A, SALERNO A, EGARTER-VIGL E, SEEBACHER C et al. Immunohistochemical panels for differentiating epithelial malignant mesothelioma from lung adenocarcinoma: a study with logistic regression analysis. Am J Surg Pathol 2001; 25: 43-50.
https://doi.org/10.1097/00000478-200101000-00004
25. GOWN AM, VOGEL AM. Monoclonal antibodies to human intermediate filament proteins. III. Analysis of tumors. Am J Clin Pathol 1985; 84: 413-424.
https://doi.org/10.1093/ajcp/84.4.413
26. YANG XJ, LECKSELL K, GAUDIN P, EPSTEIN JI. Rare expression of high-molecular-weight cytoqueratin in adenocarcinoma of the prostate gland: a study of 100 cases metastasic and locally advanced prostate cancer. Am J Surg Pathol 1999; 23: 147-152.
https://doi.org/10.1097/00000478-199902000-00002
27. VARMA M. JASANI B. Diagnostic utility of immunohistochemistry in morphologically difficult prostate cancer: review of current literature. Histopathology 2005; 47: 1-16.
https://doi.org/10.1111/j.1365-2559.2005.02188.x
28. RUBIN MA, ZHOU M, DHANASEKARAN SM, VARAMBALLY S, BARRETTE TR, SANDA MG et al. Alpha-Methylacyl coenzyme A racemasa as a tissue biomarker for prostate cancer. Jama 2002; 287: 1662-1670.
https://doi.org/10.1001/jama.287.13.1662
29. DAVIS LD, ZHANG W, MERSEBURGER A, YOUNG D, XU L, RHIM JS et al. p63 expression profile in normal and malignant prostate epithelial cells. Anticancer Res 2002; 22: 3819-3825.
30. HERAWI M, PARWANI AV, IRIE J, EPSTEIN JI. Small glandular proliferations on needle biopsies: most common benign mimickers of prostatic adenocarcinoma sent in for expert second opinion. Am J Surg Pathol 2005; 29: 874-880.
https://doi.org/10.1097/01.pas.0000159520.36806.3e
31. ZHOU M, AYDINH, KANANE H, EPSTEIN JI. How often does alpha-methylacyl-CoA-racemasa contribute to resolving an atypical diagnosis on prostate neddle biopsy beyond that provided by basal cell markers? Am J Surg Pathol 2004; 28: 239-243.
https://doi.org/10.1097/00000478-200402000-00012
32. JIANG Z, LI C, FISCHER A, DRESSER K, WODA BA. Using an AMACR (p504s)/34betaE12/p63 cocktail for the detection of small focal prostate carcinoma in neddle biopsy specimens. Am J Clin Pathol 2005; 123: 231-236.
Descargas
Archivos adicionales
Publicado
Cómo citar
Número
Sección
Licencia
Derechos de autor 2012 Anales del Sistema Sanitario de Navarra

Esta obra está bajo una licencia internacional Creative Commons Atribución-CompartirIgual 4.0.
La revista Anales del Sistema Sanitario de Navarra es publicada por el Departamento de Salud del Gobierno de Navarra (España), quien conserva los derechos patrimoniales (copyright ) sobre el artículo publicado y favorece y permite la difusión del mismo bajo licencia Creative Commons Reconocimiento-CompartirIgual 4.0 Internacional (CC BY-SA 4.0). Esta licencia permite copiar, usar, difundir, transmitir y exponer públicamente el artículo, siempre que siempre que se cite la autoría y la publicación inicial en Anales del Sistema Sanitario de Navarra, y se distinga la existencia de esta licencia de uso.


