Peritonitis bacteriana espontánea en ascitis cardiaca: Presentación de un caso y revisión de la literatura
DOI:
https://doi.org/10.23938/ASSN.1153Palabras clave:
Ascitis, Peritonitis bacteriana espontánea, Proteínas, Insuficiencia cardiaca.Resumen
La ascitis puede tener origen cardiaco en un 5% de los casos. Aunque el elevado contenido proteico del líquido ascítico previene la peritonitis bacteriana espontánea en ascitis cardiaca, esta puede presentarse en escenarios de insuficiencia cardíaca grave con congestión e hipoperfusión intestinal.
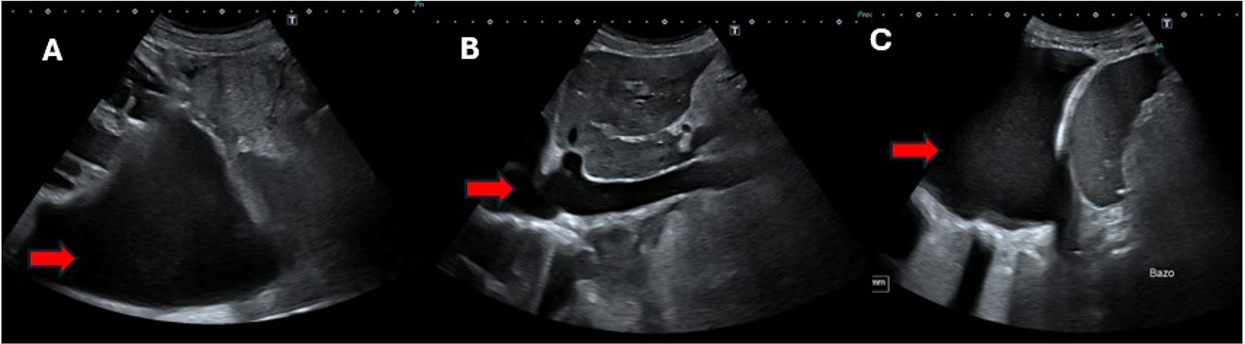
Presentamos el caso de un varón de 65 años con insuficiencia cardíaca avanzada, fracción de eyección del 19%, insuficiencia tricuspidea grave e hipertensión pulmonar, que consultó por disnea y aumento del perímetro abdominal. La ecografía descartó hipertensión portal y cirrosis. El análisis del líquido ascítico (proteínas totales 3,5 g/dL, gradiente de albúmina sérica-ascitis 2,2 g/dL y predominio de polimorfonucleares, 89%) fue compatible con peritonitis bacteriana espontánea. El paciente evolucionó favorablemente tras tratamiento antibiótico.
A pesar de su excepcionalidad, resulta fundamental contemplar la peritonitis bacteriana espontánea en ascitis cardíaca dentro del diagnóstico diferencial para instaurar el tratamiento de forma temprana y reducir significativamente la morbimortalidad asociada.
Descargas
Citas
1.- ZAFAR MU, MARJARA J, TARAR ZI, GHOUS G, PATEL P. Peritonitis bacteriana espontánea en la ascitis cardiogénica. Cureus 2020;12(10):e10995. https://doi.org/10.7759/cureus.10995
2.- GÓMEZ DEL OLMO V, PATIER DE LA PEÑA JL, MORENO-COBO MA, MESEGUER M. Peritonitis bacteriana espontánea por Listeria monocytogenes en ascitis de origen cardíaco. Rev Clin Esp 2010;210(8):421-422. https://doi.org/10.1016/j.rce.2009.12.014
3.-CANAKIS A, CANAKIS J, LOHANI M, OSTRANDER T. Spontaneous bacterial peritonitis in cardiac ascites: A rare but deadly occurrence. Am J Case Rep 2019;20:1446-1448. https://doi.org/10.12659/ajcr.915944
4.- GOH ZNL, TEO RYL, CHUNG BK, WONG AC, SEAK CJ. At the heart of the problem: Congestive cardiac failure as a cause of ascites: A narrative review. Medicine (Baltimore) 2022;101(31):e2995. https://doi.org/10.1097/md.0000000000029951
5.-BECKMANN T, PAVLATOS N, KALRA DK. Spontaneous bacterial peritonitis: A rare complication of pulmonary arterial hypertension. Biomedicines 2024;12:1389. https://doi.org/10.3390/biomedicines12071389
6.- FORADO-BENATAR I, CARAVACA-PÉREZ P, RODRIGUEZ-ESPINOSA D, GUZMAN-BOFARULL J, CUADRADO-PAYÁN E, MOAYEDI Y et al. Tricuspid regurgitation, right ventricular function, and renal congestion: a cardiorenal triangle. Front. Cardiovasc Med 2023;10:1255503. https://doi.org/10.3389/fcvm.2023.1255503
7.- WANG Y, ATTAR BM, GANDHI S, JAISWAL P, BEDROSE S, PARANJI N et al .Characterization of ascites in cardiac cirrhosis: the value of ascitic fluid protein to screen for concurrent cardiac cirrhosis. Scan J of Gastroenterol 2017;52(7):772-776. https://doi.org/10.1080/00365521.2017.1323230
8.- KAUR H, PREMKUMAR M. Diagnosis and management of cirrhotic cardiomyopathy. J Clin Exp Hepatol 2022;12(1):186-199. https://doi.org/10.1016/j.jceh.2021.08.016
9.-ORMACHEA KX, GREGOR L, QUINTERO J, GEORGE B, SINGH S. Ascitis neutrocítica negativa para cultivo en un paciente con ascitis cardíaca por insuficiencia cardíaca terminal. Cureus 2024;16(3):e55802. https://doi.org/10.7759/cureus.55802
10.-SHEER TA, JOO E, RUNYON BA. Usefulness of serum N-terminal-ProBNP in distinguishing ascites due to cirrhosis from ascites due to heart failure. J Clin Gastroenterol 2010;44(1):e23-26. https://doi.org/10.1097/mcg.0b013e318198113b
11.PATEL D, IQBAL AM, MUBARIK A, ZAFAR F, SIDDIQUI SM, JUPALLI et al. Spontaneous fungal peritonitis as a rare complication of ascites secondary to cardiac cirrhosis: A case report. Am J Case Rep 2019;20:1526-1529. https://doi.org/10.12659/ajcr.917757
12.-ROSSITER JP, CUNNINGHAM K, MANLEY PN. Spontaneous bacterial peritonitis: An unusual life-threatening complication of congestive heart failure. Can J Cardiol 2015;31(5):691.e13-691.e14. https://doi.org/10.1016/j.cjca.2014.12.015
13.- Mudassar S, Sakiri A, Hamoudah T, Dawood A, Khan N. A rare case of spontaneous bacterial peritonitis in a patient with cardiac ascites. Am J Gastroenterol 2023;118(Suppl 10):S2269. https://doi.org /10.14309/01.ajg.0000963400.17594.d0
14.- KARAMBELKAR P, GONUGUNTLA K, PATIL S, ROJULPOTE C. Spontaneous bacterial peritonitis in the presence of cardiac ascites: A rare entity. Chest 2020;158(4):A193-A194. https://doi.org/10.1016/j.chest.2020.08.202
15.- SCHUTTE B, CHU T, VIJAYASEKAR K, RANGRAY R. Persistent spontaneous bacterial peritonitis in a patient with cardiogenic ascites. Am J Gastroenterol 2022;117(Suppl 10):e1904.
Descargas
Publicado
Cómo citar
Número
Sección
Licencia
Derechos de autor 2026 Anales del Sistema Sanitario de Navarra

Esta obra está bajo una licencia internacional Creative Commons Atribución-CompartirIgual 4.0.
La revista Anales del Sistema Sanitario de Navarra es publicada por el Departamento de Salud del Gobierno de Navarra (España), quien conserva los derechos patrimoniales (copyright ) sobre el artículo publicado y favorece y permite la difusión del mismo bajo licencia Creative Commons Reconocimiento-CompartirIgual 4.0 Internacional (CC BY-SA 4.0). Esta licencia permite copiar, usar, difundir, transmitir y exponer públicamente el artículo, siempre que siempre que se cite la autoría y la publicación inicial en Anales del Sistema Sanitario de Navarra, y se distinga la existencia de esta licencia de uso.


