Invaginación de intestino delgado en el adulto causada por lipoma submucoso de íleon
DOI:
https://doi.org/10.23938/ASSN.0076Palabras clave:
Invaginación. Lipoma ileal. Tumor intestinal. Obstrucción intestinal.Resumen
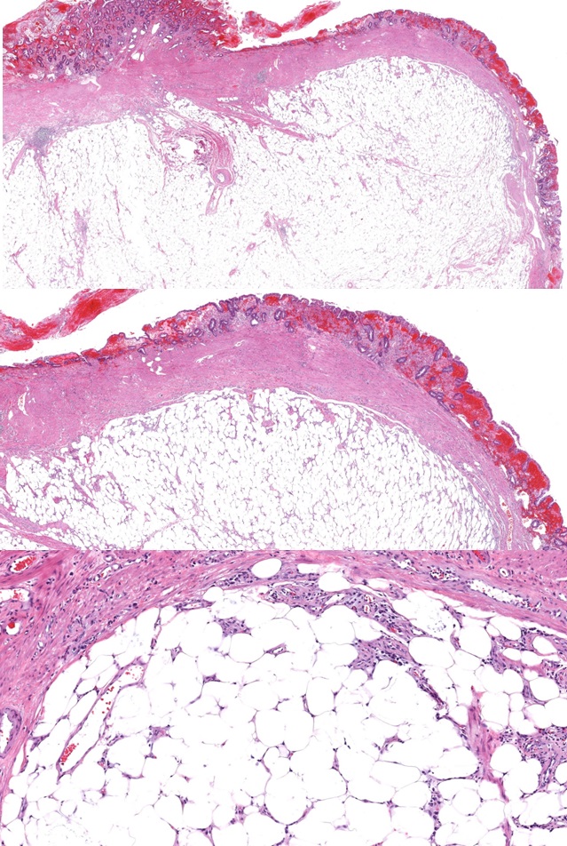
Se presenta el caso de un paciente de 68 años con invaginación intestinal secundaria a un lipoma submucoso de íleon. Se trata de una entidad rara en adultos y que suele ser debida a una lesión orgánica. La manifestación clínica se caracteriza por vómitos, dolor abdominal y melenas.
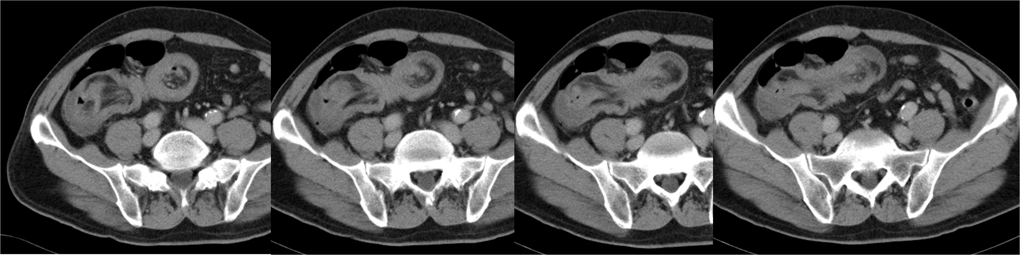
Se presenta el caso de un paciente al que tras la realización de una colonoscopia y un TAC abdominal, se realizó una resección ampliada de ciego e íleon terminal.
En la actualidad la precisión del diagnóstico etiológico de las invaginaciones ha aumentado gracias al desarrollo de las pruebas de imagen, como el TAC. Se recomienda un tratamiento quirúrgico precoz, sin desinvaginación intraoperatoria dado el elevado riesgo de presentar una lesión maligna o isquémica en el adulto.
Descargas
Citas
1. CALVO AM, MONTÓN S, RUBIO T, REPISO M, SARASIBAR H. Invaginación intestinal en el adulto secundaria a lipoma yeyunal. An Sist Sanit Navar 2005 ; 28: 155-158.
https://doi.org/10.4321/S1137-66272005000100011
2. NAPORA T, HENRY K, LOVETT T, BEESON M. Transient adult jejunal intussusception. J Emerg Med 2003; 24: 395-400.
https://doi.org/10.1016/S0736-4679(03)00036-2
3. FERRERA PC, KISSPERT P. Intussusception after blunt abdominal trauma. Am J Emerg Med 1998; 16: 671-673.
https://doi.org/10.1016/S0735-6757(98)90173-5
4. AZAR T, BERGER DL. Adult intussusception. Ann Surg 1997; 226: 134-138.
https://doi.org/10.1097/00000658-199708000-00003
5. MOUAQIT O, HASNAI H, CHBANI L, BENJELLOUN B, EL BOUHADDOUTI H, IBN EL MAJDOUB K et al. Adult intussusceptions caused by a lipoma in the jejunum: report of a case and review of the literature. World J Emerg Surg 2012; 7: 28.
https://doi.org/10.1186/1749-7922-7-28
6. HOU YC, LEE PC, CHANG JJ, LAI PS. Laparoscopic management of small-bowel intussusception in a 64-year-old female with ileoal lipomas. World J Gastrointest Surg 2012; 4: 220-222.
https://doi.org/10.4240/wjgs.v4.i9.220
7. MANCEBO L, MORAL I, CASTAÑO A, SANZ MJ, ALEGRE N, DELGADO M. Invaginación intestinal en el adulto. Emergencias 2005; 17: 87-90.
8. MORERA-OCON FJ, HERNANDEZ-MONTES E, BERNAL-SPREKELSEN JC. Invaginación intestinal en el adulto: presentación de un caso y revisión de la literatura médica española. Cir Esp 2009; 86: 358-362.
https://doi.org/10.1016/j.ciresp.2009.08.002
9. BARUSSAUD M, REGENET N, BRIENNON X, DE KERVILER B, PES¬SAUX P, KOHNEH-SHARHI N et al. Clinical spectrum and surgical ap¬proach of adult intussusceptions: a multicentric study. Int J Colorectal Dis 2006; 21: 834-839.
https://doi.org/10.1007/s00384-005-0789-3
10. NAMIKAWA T, HOKIMOTO N, OKABAYASHI T, KUMON M, KOBAYASHI M, HANAZAKI K. Adult ileoileal intussusception induced by an ileal lipoma diagnosed preoperatively: report of a case and review of the literature. Surg Today 2012; 42: 686-692.
Publicado
Cómo citar
Número
Sección
Licencia
Derechos de autor 2015 Anales del Sistema Sanitario de Navarra

Esta obra está bajo una licencia internacional Creative Commons Atribución-CompartirIgual 4.0.
La revista Anales del Sistema Sanitario de Navarra es publicada por el Departamento de Salud del Gobierno de Navarra (España), quien conserva los derechos patrimoniales (copyright ) sobre el artículo publicado y favorece y permite la difusión del mismo bajo licencia Creative Commons Reconocimiento-CompartirIgual 4.0 Internacional (CC BY-SA 4.0). Esta licencia permite copiar, usar, difundir, transmitir y exponer públicamente el artículo, siempre que siempre que se cite la autoría y la publicación inicial en Anales del Sistema Sanitario de Navarra, y se distinga la existencia de esta licencia de uso.


