Manejo multidisciplinar del cáncer epitelial de ovario. Diagnóstico radiológico
Palabras clave:
Cáncer epitelial de ovario. Resonancia magnética. Tomografía computarizada multidetector.Resumen
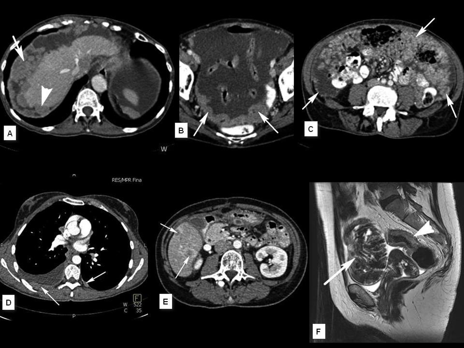
En el contexto del abordaje multidisciplinar para el diagnóstico y tratamiento del cáncer de ovario, la aportación del radiólogo incluye cuatro puntos fundamentales que son: identificación de la lesión, caracterización, estudio de extensión y valoración evolutiva. En el presente trabajo se describen los hallazgos y claves diagnósticas en TCMD (Tomografía Computarizada multidetector) y RM (Resonancia Magnética), la aportación e indicación de otras tecnologías como el PET (Tomografía por Emisión de Positrones) y se esbozan las técnicas emergentes basadas en imagen funcional (estudios dinámicos con contraste en RM y estudios de difusión por RM).Descargas
Citas
1. SAKSOUK FA, JOHNSON SC. Recognition of the ovaries and ovarian origin of pelvic masses with CT. Radiographics 2004; 24: S133-S146.
https://doi.org/10.1148/rg.24si045507
2. LYER VR, LEE SI. CRI, CT, and PET/CT for ovarian cancer detection and adnexal lesion characterization. Am J Roentgenol 2010; 194: 311-321.
https://doi.org/10.2214/AJR.09.3522
3. PICKHARDT PJ, HANSON ME. Incidental adnexal masses detected at low-dose unenhanced CT in asymtomatic women age 50 and older: Implications for clinical management and ovarian cancer screening. Radiology 2010; 257: 144-150.
https://doi.org/10.1148/radiol.10100511
4. BALACHANDRAN A, IYER RB. Imaging of ovarian cancer. Appl Radiol 2005; 34: 19-29.
https://doi.org/10.37549/AR1366
5. JUNG SE, LEE JM, RHA SE, BYUN JY, JUNG JI, HAHN ST. CT and MR imaging of ovarian tumors with emphasis on differential diagnosis. Radiographics 2002; 22: 1305-1325.
https://doi.org/10.1148/rg.226025033
6. IMAOKA I, WADA A, KAJI Y, HAYASHI T, HAYASHI M, MATSUO M et al. Developing an MR imaging strategy for diagnosis of ovarian masses. Radiograhics 2006; 26: 1431-1448.
https://doi.org/10.1148/rg.265045206
7. TAKEUCHI M, MATSUZAKI K, UEHARA H, NISHITANI H. Malignant transformation of pelvic endometriosis: MR imaging finding and pathologic correlation. Radiographics 2006; 26: 407-417.
https://doi.org/10.1148/rg.262055041
8. KINKEL K, LU Y, MEHDIZADE A, PELTE MF, HRICAK H. Indeterminate ovarian mass at US: incremental value of second imaging test for Characterization - Meta-analysis and bayesian analysis. Radiology 2005; 236: 85-94.
https://doi.org/10.1148/radiol.2361041618
9. American Joint Committee on Cancer (AJCC). Cancer staging manual. 7th Edition. Springer, 2010.
10. PANNU HK, BRISTOW RE, MONTZ FJ, FISHMAN EK. Multidetector CT of peritoneal carcinomatosis from ovarian cancer. Radiographics 2003; 23: 687-701.
https://doi.org/10.1148/rg.233025105
11. AKIN O, SALA E, MOSKOWITS CS, ISHILL N, SOSLOW RA, CHI DS et al. Perihepatic metastasis form ovarian cancer: sensitiviy and specificity of CT for detection of metastasis with and those without liver parenchymal invasion. Radiology 2008; 248: 511-517.
https://doi.org/10.1148/radiol.2482070371
12. WOODWARD PJ, HOSSEINZADEH K, SAENGER JS. From the archives of the AFIP. Radiologic staging of ovarian carcinoma with patologic correlation. Radiographics 2004; 24: 225-246.
https://doi.org/10.1148/rg.241035178
13. GU P, PAN LL, WU SQ, SUN L, HUANG G. CA 125, PET alone, PET-CT and MRI in diagnosing recurrent ovarian carcinoma: a systematic review and meta-analysis. Eur J Radiol 2009; 71: 164-174.
https://doi.org/10.1016/j.ejrad.2008.02.019
14. SALA E. KATAOKA M, PNDIT-TASKAR N, ISHILL N, MIRONOV S, MOSKOWITZ CS et al. Recurrent ovarian cancer: use of contrast-enhanced CT and PET/CT to accurately localize tumor recurrence and to predit patients' survival. Radiology 2010; 257: 125-134.
https://doi.org/10.1148/radiol.10092279
15. GARCÍA FIGUEIRAS R, PADHANI AR, VILANOVA JC, GOH V, VILLALBA MARTIN C. Imagen funcional tumoral. Parte 1. Radiología 2010; 52: 115-125.
https://doi.org/10.1016/j.rx.2009.12.008
16. GARCÍA FIGUEIRAS R, PADHANI AR, VILANOVA JC, GOH V, VILLALBA MARTIN C. Imagen funcional tumoral. Parte 2. Radiología 2010; 52: 208-220.
https://doi.org/10.1016/j.rx.2009.12.011
17. THOMASSIN-NAGGARA I, BAZOT M, DARAÏ E, CALLARD P, THOMASSIN J, CUENOD CA. Epitelial ovarian tumors: value of dynamic contrast-enhanced MR imaging and correlation with tumor angiogenesis. Radiology 2008; 248: 148-159.
https://doi.org/10.1148/radiol.2481071120
18. KYRIAZI S, COLINS DJ, MORGAN VA, GILES SL, DE SOUZA NM. Diffusion-weighted imaging of peritoneal disease for noninvasive staging of advanced ovarian cancer. Radiographics 2010; 30: 1269-1285.
Descargas
Archivos adicionales
Publicado
Cómo citar
Número
Sección
Licencia
Derechos de autor 2011 Anales del Sistema Sanitario de Navarra

Esta obra está bajo una licencia internacional Creative Commons Atribución-CompartirIgual 4.0.
La revista Anales del Sistema Sanitario de Navarra es publicada por el Departamento de Salud del Gobierno de Navarra (España), quien conserva los derechos patrimoniales (copyright ) sobre el artículo publicado y favorece y permite la difusión del mismo bajo licencia Creative Commons Reconocimiento-CompartirIgual 4.0 Internacional (CC BY-SA 4.0). Esta licencia permite copiar, usar, difundir, transmitir y exponer públicamente el artículo, siempre que siempre que se cite la autoría y la publicación inicial en Anales del Sistema Sanitario de Navarra, y se distinga la existencia de esta licencia de uso.


